Iter Giuridico per il Risarcimento di Danni da Cure Dentistiche

Guida completa all’iter giuridico per ottenere il risarcimento dei danni da cure dentistiche errate, tra responsabilità medica, prove e tutela del paziente.

Iter Giuridico per il Risarcimento di Danni da Cure Dentistiche

L'ambito della responsabilità medica, con specifico riferimento al settore odontoiatrico, rappresenta uno scenario giuridico complesso e in costante evoluzione, in cui si intrecciano aspetti clinici, normativi e procedurali di notevole rilevanza. 


Quando un paziente si sottopone a cure dentistiche, instaura con il professionista o con la struttura sanitaria un rapporto basato sulla fiducia e sul rispetto delle buone pratiche cliniche, codificate dalle linee guida e dalla letteratura scientifica accreditata. 


Tuttavia, può accadere che l'esito del trattamento non corrisponda alle aspettative o, ancor peggio, che si verifichino eventi avversi tali da cagionare un danno alla salute del paziente.


In tali circostanze, l'ordinamento giuridico italiano prevede specifici strumenti di tutela volti a ripristinare, per quanto possibile tramite un equivalente monetario, la sfera giuridica e patrimoniale del soggetto leso. 


Il percorso per ottenere il risarcimento del danno odontoiatrico non è immediato né automatico, ma richiede il rigoroso rispetto di un iter procedurale ben definito, che passa attraverso la raccolta di prove documentali, la valutazione medico-legale e, spesso, il tentativo di risoluzione bonaria della controversia prima di approdare, eventualmente, nelle aule di tribunale. 


La materia è disciplinata prevalentemente dalla Legge Gelli-Bianco (Legge n. 24/2017), la quale ha introdotto significative novità in tema di sicurezza delle cure e responsabilità professionale.


Affrontare un contenzioso in ambito odontoiatrico richiede una comprensione chiara dei propri diritti e dei doveri che gravano sul medico o sulla struttura sanitaria. 


Non si tratta semplicemente di dimostrare che l'intervento non ha avuto successo, ma di provare che tale insuccesso è derivato da una condotta negligente, imprudente o imperita del sanitario, e che esiste un nesso di causalità diretto tra tale condotta e il danno lamentato. 


La presente guida si propone di analizzare in dettaglio le fasi di questo percorso, offrendo una panoramica esaustiva e accessibile a chi, non possedendo una formazione giuridica specifica, necessita di orientarsi in questo delicato settore.

La Responsabilità Professionale Odontoiatrica e i Presupposti del Danno

Prima di intraprendere qualsiasi azione legale o richiesta di risarcimento, è fondamentale comprendere la natura della responsabilità che grava sul dentista e quali sono gli elementi costitutivi che legittimano una pretesa risarcitoria. 


Il rapporto tra odontoiatra e paziente è generalmente inquadrato come un contratto d'opera professionale, il che comporta oneri probatori specifici e distingue le obbligazioni di mezzi da quelle di risultato, sebbene tale distinzione sia oggi oggetto di interpretazioni giurisprudenziali sempre più sfumate. 


In questa sezione esploreremo i fondamenti giuridici della colpa medica, la tipologia di danni risarcibili e l'importanza cruciale del consenso informato, elemento cardine della relazione di cura.

Natura della responsabilità e obbligazioni del sanitario

La responsabilità dell'odontoiatra può essere di natura contrattuale o extracontrattuale, a seconda che il paziente si sia rivolto a un libero professionista privato o a una struttura pubblica, o che agisca direttamente contro il medico dipendente della struttura. 


La distinzione non è puramente teorica ma ha ricadute pratiche sui termini di prescrizione (dieci anni per la responsabilità contrattuale, cinque per quella extracontrattuale) e sull'onere della prova. 


Nel caso prevalente della responsabilità contrattuale, il paziente deve provare l'esistenza del contratto e l'insorgenza o l'aggravamento della patologia, allegando l'inadempimento del medico. 


Spetterà poi al sanitario dimostrare di aver agito con la diligenza richiesta o che l'esito infausto è dipeso da un evento imprevisto e imprevedibile.


È essenziale sottolineare che il medico non è sempre tenuto a garantire la guarigione, ma è obbligato a svolgere la propria attività con la diligenza qualificata del professionista medio, applicando le leges artis corrette per il caso specifico. 


Tuttavia, in ambito odontoiatrico, specialmente per interventi di natura estetica o protesica di routine, la giurisprudenza tende spesso a considerare l'obbligazione molto vicina a un'obbligazione di risultato, richiedendo standard qualitativi elevati. 


La valutazione della condotta medica avviene confrontando l'operato del dentista con le linee guida ufficiali e le buone pratiche clinico-assistenziali accreditate dalla comunità scientifica.

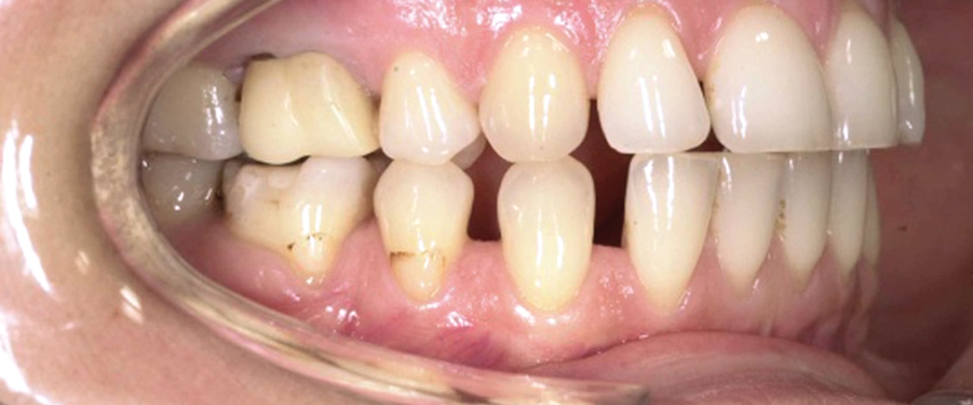
Tipologie di danno risarcibile in ambito odontoiatrico

Quando si parla di risarcimento, è necessario identificare con precisione quali pregiudizi siano stati subiti. Il danno non è un concetto unitario, ma si compone di diverse voci che devono essere provate singolarmente. 


La voce principale è il danno biologico, inteso come lesione dell'integrità psicofisica della persona, suscettibile di accertamento medico-legale, che prescinde dalla capacità del soggetto di produrre reddito.


Questo include sia l'invalidità temporanea (il periodo di malattia e convalescenza) sia l'invalidità permanente (i postumi che rimarranno per tutta la vita). 


Nel caso di cure dentistiche, ciò può tradursi nella perdita di elementi dentari sani, lesioni nervose, problemi all'articolazione temporo-mandibolare o infezioni croniche.


Oltre al danno biologico, il paziente ha diritto al ristoro del danno patrimoniale. 


Questo comprende il danno emergente, ovvero le spese sostenute per le cure errate e quelle necessarie per rimediare agli errori (le cosiddette spese di ripristino), e il lucro cessante, qualora il danno fisico abbia comportato una diminuzione della capacità lavorativa e quindi una perdita di guadagno. 


Infine, può essere riconosciuto il danno morale, che compensa la sofferenza interiore e il patema d'animo soggettivo derivante dalla lesione subita, la cui quantificazione è spesso affidata a tabelle elaborate dai tribunali.

Il ruolo centrale del consenso informato

Un aspetto sovente sottovalutato, ma giuridicamente determinante, è la validità del consenso informato. 


Il medico ha l'obbligo inderogabile di fornire al paziente informazioni complete, chiare e comprensibili riguardo alla diagnosi, alla prognosi, ai benefici e ai rischi del trattamento proposto, nonché alle possibili alternative terapeutiche. 


Senza una corretta informazione, il paziente non può esercitare liberamente il proprio diritto all'autodeterminazione terapeutica. 


Se un intervento viene eseguito senza un valido consenso, o se il consenso è stato estorto omettendo rischi prevedibili che poi si sono concretizzati, il medico può essere chiamato a rispondere del danno anche se l'esecuzione tecnica della prestazione è stata impeccabile.


In ambito odontoiatrico, la mancanza di consenso informato scritto e dettagliato può costituire una grave carenza probatoria per il professionista. 


Se il paziente subisce un danno che rientrava nei rischi "normali" dell'intervento ma di cui non era stato avvisato, ha diritto al risarcimento perché gli è stata negata la possibilità di scegliere se correre o meno quel rischio. 


La documentazione del consenso non è quindi un mero atto burocratico, ma la formalizzazione di un patto terapeutico che legittima l'invasione della sfera corporea del paziente da parte del sanitario.

Fasi Preliminari e Accertamento del Danno

Una volta maturato il sospetto di aver subito un danno odontoiatrico, il paziente non deve agire d'impulso ma seguire una strategia ordinata per cristallizzare la prova e valutare la fondatezza delle proprie pretese. 


Questa fase, che precede l'avvio di qualsiasi iniziativa legale formale, è cruciale per il successo dell'intera procedura. 


L'acquisizione della documentazione clinica e la consulenza di esperti medico-legali rappresentano i pilastri su cui costruire la richiesta risarcitoria. 


In questa sezione analizzeremo come reperire correttamente le prove necessarie e l'importanza della perizia medico-legale come strumento di diagnosi giuridica del caso.

Raccolta della documentazione clinica e probatoria

Il primo passo fondamentale è l'acquisizione di tutta la cartella clinica e della documentazione sanitaria relativa al trattamento contestato. 


Il paziente ha il diritto insindacabile di richiedere e ottenere copia della propria documentazione medica, che la struttura o il professionista devono rilasciare entro termini ragionevoli (solitamente 7 giorni dalla richiesta, massimo 30). 


La cartella deve contenere il diario clinico, le radiografie pre e post-operatorie, i modelli di studio, le prescrizioni farmaceutiche e, ovviamente, il modulo di consenso informato firmato.


È altresì utile conservare le prove di pagamento (fatture, ricevute), preventivi di spesa e qualsiasi corrispondenza intercorsa con il dentista (email, messaggi). 


La completezza della cartella clinica è un requisito di legge e la sua tenuta irregolare o incompleta non gioca a favore del medico, potendo talvolta generare presunzioni di prova a favore del paziente. 


In questa fase è consigliabile non interrompere bruscamente i rapporti ma formalizzare la richiesta di documentazione tramite canali tracciabili, come una raccomandata con ricevuta di ritorno o una PEC, per avere data certa dell'avvenuta richiesta.

La consulenza medico-legale di parte

Possedere la documentazione non è sufficiente se non la si sa interpretare. 


Per questo motivo, prima di inviare lettere di diffida o citazioni, è indispensabile rivolgersi a un medico legale, preferibilmente affiancato da uno specialista in odontoiatria. 


Questo tandem di esperti ha il compito di redigere una perizia medico-legale di parte. 


Tale documento è una relazione tecnica che analizza la storia clinica, visita il paziente e stabilisce se vi è stata malpractice (cattiva pratica), quantificando il danno biologico temporaneo e permanente secondo i parametri di legge.


La perizia di parte serve a due scopi: verificare se esistono i presupposti per agire (evitando cause temerarie che porterebbero solo a spese inutili) e fornire la base tecnica per la richiesta risarcitoria. 


Senza una valutazione tecnica precisa che indichi in cosa è consistito l'errore e quale percentuale di invalidità ne è derivata, qualsiasi richiesta di denaro risulterebbe generica e facilmente contestabile dalla controparte. 


La perizia è, in sostanza, la "bussola" che orienta l'avvocato nella quantificazione della domanda economica.

Diffida e messa in mora del responsabile

Una volta ottenuta la perizia medico-legale che conferma la responsabilità del dentista, il passo successivo è l'invio formale di una lettera di diffida e messa in mora. 


Questo atto, redatto solitamente da un avvocato specializzato in responsabilità medica, viene inviato al dentista e alla struttura sanitaria coinvolta (e per conoscenza alla loro compagnia assicurativa, se nota). 


La lettera contiene una sintetica esposizione dei fatti, la contestazione degli addebiti di responsabilità professionale basata sulle risultanze della perizia di parte e la richiesta di risarcimento di tutti i danni patiti.


La messa in mora ha effetti giuridici rilevanti: interrompe i termini di prescrizione e fa decorrere gli interessi moratori sulle somme dovute. 


Inoltre, attiva formalmente l'apertura del sinistro presso l'assicurazione del professionista. 


La Legge Gelli-Bianco obbliga infatti tutti i professionisti sanitari e le strutture a dotarsi di idonea copertura assicurativa per la responsabilità civile verso terzi.


L'apertura del sinistro avvia la fase istruttoria interna alla compagnia assicurativa, che nominerà a sua volta un fiduciario medico-legale per visitare il paziente e valutare se formulare un'offerta transattiva.

Procedure di Risoluzione: Stragiudiziale e Giudiziale

Dopo aver formalizzato la richiesta, si apre la fase di gestione della controversia vera e propria. L'ordinamento italiano, nell'ottica di deflazionare il carico dei tribunali, favorisce e talvolta impone tentativi di conciliazione prima di poter accedere al giudizio ordinario. 


Il paziente si trova quindi davanti a un percorso a tappe che parte dalla negoziazione assistita o dalla mediazione, passa per l'Accertamento Tecnico Preventivo (ATP) e, solo in caso di fallimento di questi strumenti, giunge alla causa ordinaria. 


Questa sezione illustra le diverse opzioni procedurali e le tempistiche indicative per ottenere giustizia.

La gestione stragiudiziale e l'Accertamento Tecnico Preventivo (ATP)

La legge prevede che, in materia di responsabilità sanitaria, l'azione giudiziaria debba essere preceduta obbligatoriamente da un tentativo di conciliazione. 


Lo strumento principe introdotto dalla Legge Gelli-Bianco è l'Accertamento Tecnico Preventivo ai fini della composizione della lite (ex art. 696 bis c.p.c.). 


Si tratta di una procedura snella e più rapida rispetto alla causa ordinaria, che si svolge davanti al Tribunale ma ha una funzione eminentemente tecnica e conciliativa. Il giudice nomina un collegio di periti (un medico legale e un odontoiatra) super partes, chiamati Consulenti Tecnici d'Ufficio (CTU).


I CTU visitano il paziente, analizzano i documenti ed emettono una bozza di relazione in cui stabiliscono se c'è responsabilità e quantificano il danno. 


L'aspetto cruciale dell'ATP è che il giudice affida ai consulenti anche il compito di tentare la conciliazione tra le parti sulla base delle loro conclusioni tecniche. 


Se la conciliazione riesce, viene redatto un verbale che ha valore di titolo esecutivo, chiudendo la vicenda in tempi relativamente brevi (di solito 6-12 mesi). 


Questa procedura è molto vantaggiosa perché anticipa la prova tecnica che si farebbe in causa, risparmiando anni di contenzioso.

La mediazione civile come alternativa

In alternativa all'ATP, è possibile esperire il tentativo di mediazione civile presso un organismo accreditato dal Ministero della Giustizia. 


La mediazione è una procedura in cui un mediatore terzo e imparziale aiuta le parti (paziente, dentista e assicurazione) a trovare un accordo amichevole. 


A differenza dell'ATP, nella mediazione non c'è un accertamento tecnico vincolante da parte di un perito nominato dal tribunale, anche se le parti possono avvalersi delle proprie perizie di parte. Il vantaggio della mediazione risiede nei costi contenuti e nella massima riservatezza.


Tuttavia, in ambito di responsabilità medica, la mediazione è spesso meno efficace dell'ATP se le posizioni mediche sono molto distanti, poiché manca l'autorevolezza di un CTU nominato dal giudice che dirima la questione tecnica. 


Nonostante ciò, rimane una condizione di procedibilità valida: se il tentativo fallisce, si redige un verbale negativo e si può procedere con la causa ordinaria. 


La scelta tra ATP e mediazione dipende dalla strategia difensiva concordata con il proprio legale, valutando la complessità del caso e la disponibilità della controparte a trattare.

Il giudizio ordinario e le tempistiche processuali

Qualora l'ATP o la mediazione non portino a un accordo (ad esempio perché l'assicurazione contesta la responsabilità o ritiene eccessiva la richiesta), il paziente dovrà avviare il giudizio ordinario di merito. 


Si tratta di una causa civile vera e propria (ex art. 702 bis c.p.c. o rito ordinario), in cui si utilizzeranno le prove raccolte (inclusa la relazione dell'ATP, che entra a far parte del fascicolo). 


Il giudice, sentite le parti e valutate le prove, emetterà una sentenza che accerta la responsabilità e condanna il dentista o la struttura al pagamento del risarcimento, oltre alle spese legali.


Il giudizio ordinario ha tempi decisamente più lunghi rispetto alle fasi precedenti, potendo durare diversi anni a seconda del carico di lavoro del Tribunale competente. 


È importante sapere che, nel giudizio di merito, se è stato svolto precedentemente un ATP, difficilmente il giudice si discosterà dalle conclusioni dei periti d'ufficio, a meno che non emergano gravi vizi logici o procedurali.


La sentenza di primo grado è provvisoriamente esecutiva, il che significa che il paziente ha diritto a ricevere il pagamento anche se la controparte decide di ricorrere in appello, salvo sospensive concesse in casi eccezionali.

Riflessioni Finali sul Percorso Tutelare

Il percorso per ottenere il risarcimento danni da cure dentistiche si configura come un iter articolato che richiede pazienza, rigore e un supporto professionale qualificato. 


La normativa vigente offre strumenti efficaci per la tutela del paziente, ponendo l'accento sulla conciliazione e sull'accertamento tecnico preventivo per ridurre i tempi della giustizia. 


Tuttavia, l'esito non è mai scontato e dipende dalla solidità delle prove documentali e dalla capacità di dimostrare il nesso causale tra l'operato del sanitario e il danno subito. 


Affidarsi a professionisti esperti in responsabilità medica e medicina legale è la condizione necessaria per trasformare una legittima pretesa in un concreto risarcimento.


Fonte ufficiale delle informazioni: https://www.malasanitarisarcimento.legal/procedura-per-danni-odontoiatrici/